«Мама прикута до ліжка і відчуває сильний біль». Козятинчанка Світлана Стойко бореться з раком
- Донька Світлани Стойко Вероніка звертається за допомогою
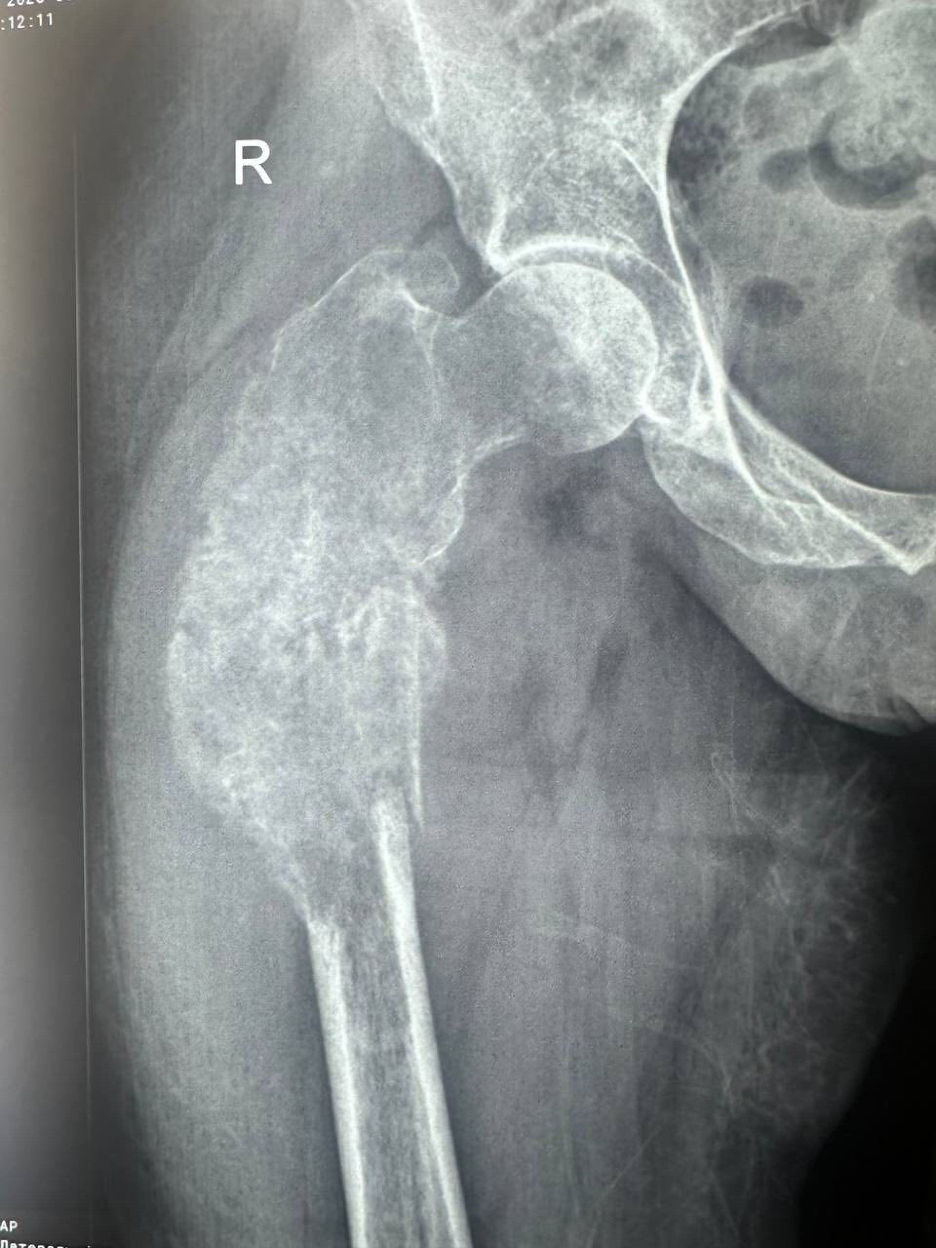
- Її мама має важку недугу — рак легень з метастазами (аденокарцинома). Хвороба вразила легені, печінку, лімфовузли та кістку.
- Ціль збору — 400 тисяч гривень
— Ніколи не думала, що доведеться писати такий пост… Моя мама, Світлана Стойко Svetlana Stoyko, зараз бореться з дуже важким діагнозом — рак легені з метастазами (аденокарцинома). Хвороба вразила легені, печінку, лімфовузли та кістку. Нещодавно стався страшний момент — через ураження кістки метастазами в мами трапився патологічний перелом стегна. Зараз вона прикута до ліжка і відчуває сильний біль… — пише Вероніка
За словами Вероніки, є шанс допомогти. Лікарі готові провести операцію з ендопротезування кульшового суглоба та частини стегнової кістки, щоб мама могла знову ходити та продовжувати лікування. Але для цього потрібно 400 000 грн: 200 тисяч ціна операції, близько 3,5 тисяч євро протез і 50 тисяч на реабілітацію після операції
— Я прошу всіх небайдужих допомогти нам зібрати цю суму, бо для мене як єдиної доньки ця сума занадто велик. Навіть найменший внесок важливий, адже він наближає мою маму до життя без болю та можливості далі продовжити життя і боротися з онкологією. Допоможіть, будь ласка, і поширте цей пост, щоб про нього дізналося якомога більше людей. Вірю, що разом ми зможемо врятувати мою маму!
- Мета збору: 400 000 грн
- Призначення: операція та лікування
Реквізити для допомоги:
- https://www.privat24.ua/send/30lph
- або номер карти конверту (ліміт операцій)
- 5168752147734639
- Наразі працює лише Монобанк:
- https://send.monobank.ua/jar/67MukCkhp1
- 4874100028286006
- конверт та банка на ім'я доньки Вероніка Василишина
Читайте:
«Моя мама бореться за життя. Потрібно 500 тисяч гривень»
Кожен курс таргетної терапії коштує близько 80 000 гривень. Алла Федорченко благає допомоги
Слідкуйте за новинами Козятина у Telegram.
-
Елена Стратийчук🙏🙏🙏